An overbite or overjet, also known as a Class II malocclusion, is a common dental problem that occurs when the upper jaw protrudes too far over the lower jaw or when the upper front teeth are angled too far forward.
Blog
Sleep disordered breathing (SDB) is a term that describes breathing difficulties during sleep.
Many people think that the correct age for your child to see an orthodontist is in their teens, shortly after their permanent adult teeth come through
Class III malocclusion (more commonly referred to as an underbite or an anterior crossbite) affects approximately 10% of the population, where the lower jaw outgrows the upper jaw, causing the lower teeth to overlap the upper teeth
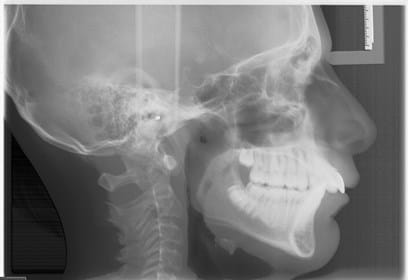
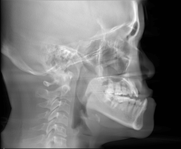
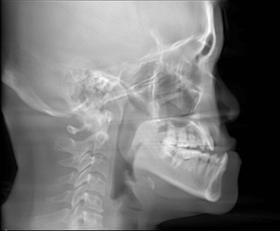
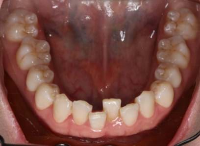
Have you undergone orthodontic treatment during your childhood or teenage years, only to notice your teeth gradually returning to their previous positions? This is more common than you think. Orthodontic relapse refers to the teeth reverting to their original positions after orthodontic treatment, whether with braces or clear aligners. There are a few factors that might contribute to this relapse.




